What do you want to ask or share?
Churu rajasthan

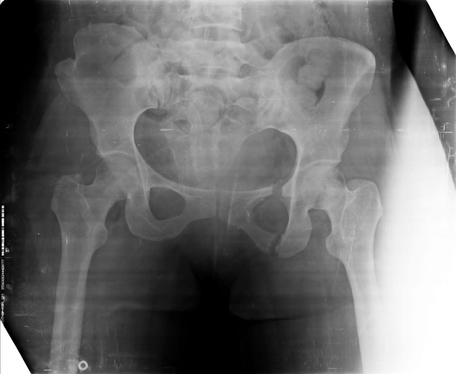
Hello sir my opresan time 3 month , at Apollo hospital guwahati me opresan hua h ,, aap btaiye kitna time lgega. Bone ready hone pr please sir aap btao exary dekh ke 

...Read More
Hari Shankar pareek churu rajasthan

Sir mere opresan ko 3 mhina ho gya h aab aap xray dekh ko btaiye per ready hone me kitna time lgega please sir 

...Read More
How much time take ot

How

My self savitamera accident hua tha 13th nov 

Mera fractur xray pls check karke bata dijiye kitna waqt lagega aur sab thik hone me right hand ka movement Jada nahi ho raha pls suggest

Aur sab pehele ke jaisa hoga ya nahi pls suggest 

 

 

 

...Read More
What i do ?

Sir mere 8 days pehele ankle fracture hua tha 8 days baad kachcha slab khula fir bhi sujan kam nh huyi ab 5 days ke liye fir kachcha slab lga diya hai..please btaiye kya kru me

...Read More

End of content

No more pages to load