What should be the better step in such condition?
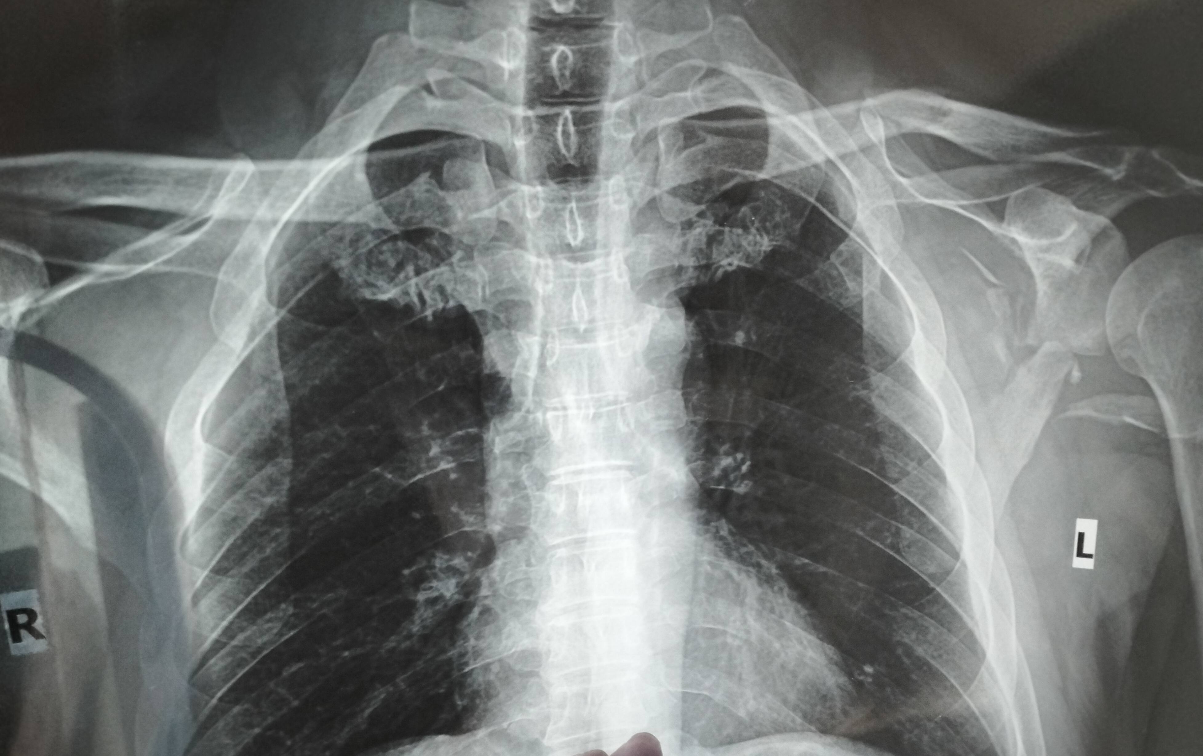
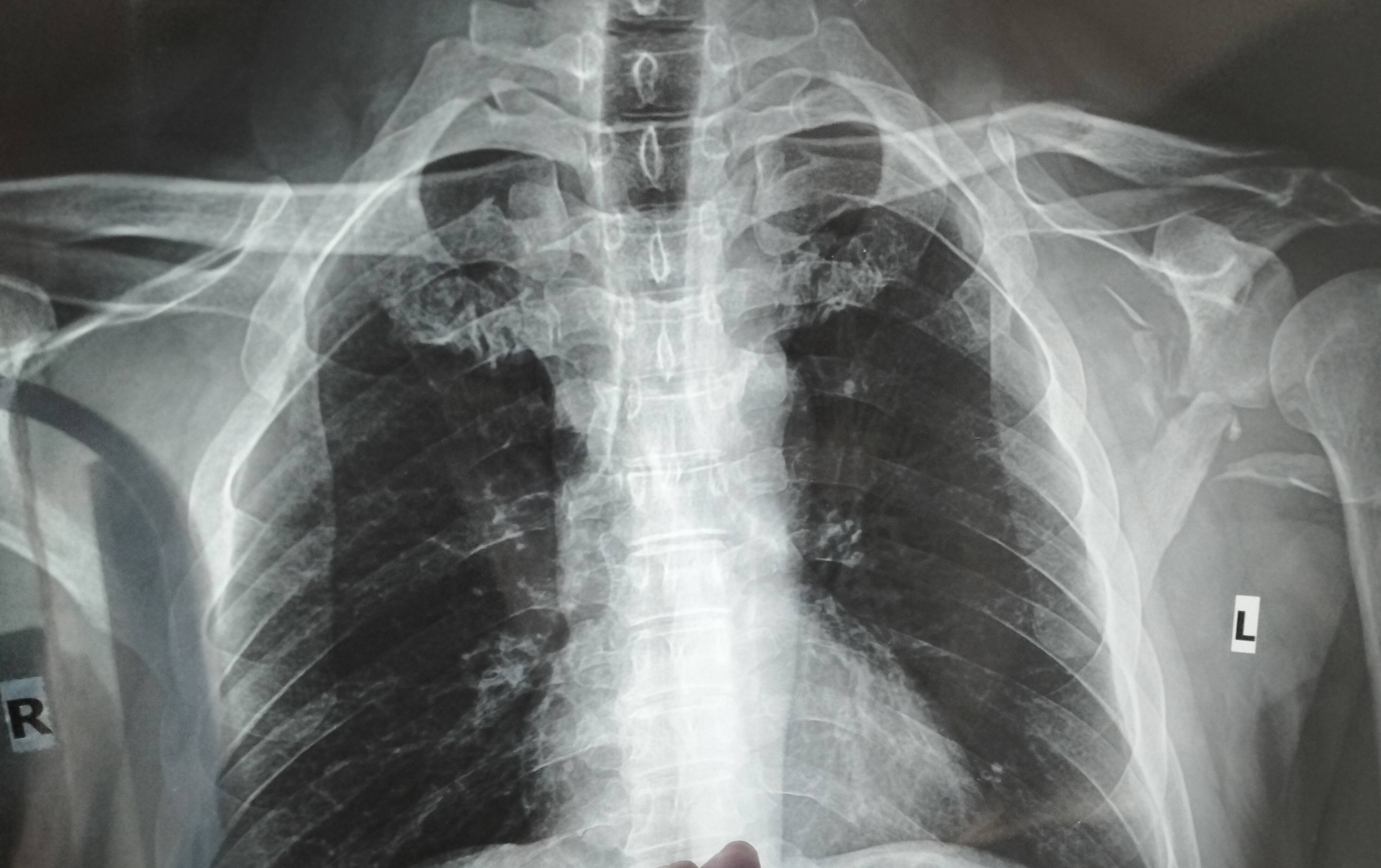
On 22th October, 2022 my clavicle and scabula got fractured due to a bike accident. Is it okay if it gets joined automatically? Or is there any better way to treat it so that no problem occurs in future?
Some doctors suggested that an operation can be conducted to straighten the clavicle, some said operation isn't needed. What's your suggestion?
By the way, I've sent messages and x-ray images in your WhatsApp. Your suggestion would be much appreciated.
MD. Ekramuzzaman, Age: 45 years, Email: ekramuzzaman83@gmail.com, WhatsApp Mobile Number: +8801823938409, Bangladesh.



